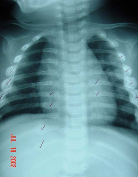
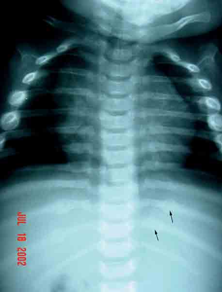
Left: Inflicted rib fractures in a 9-month-old child. Note the callus formation. Right: The same child 2 weeks later (in protective custody). Note the two new calluses.
This emphasizes the need for a repeat skeletal survey 2 weeks after the first.

(Photos courtesy of Children’s Hospital Boston Child Protection Team.)


Last Updated: June 21, 2003